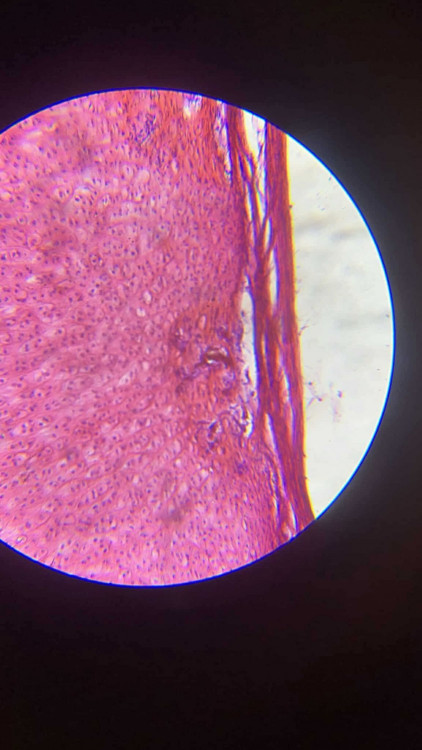
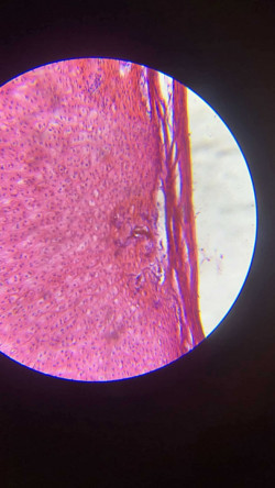
V rámci přírodopisu si žáci 8.A vyzkoušeli práci s mikroskopem a pozorovali různé typy tkání, které probírali v předchozích hodinách. Praktická část hodiny jim umožnila lépe porozumět struktuře a funkci jednotlivých tkání, které tvoří základ živých organismů.
Pod mikroskopem si mohli prohlédnout trvalé preparáty, jako například příčný řez nervem, hladkou svalovinu, kůru mozečku, tkáň jícnu, rohovku nebo tkáň dělohy. Během práce identifikovali základní druhy tkání – výstelkovou, svalovou, pojivovou a nervovou – a zopakovali si teorii v praxi.
Mikroskopování bylo pro žáky zajímavou a obohacující zkušeností. Díky této aktivitě si nejen prohloubili znalosti, ale také ocenili pestrost a složitost stavebních prvků živých organismů.