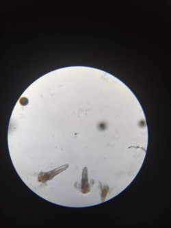
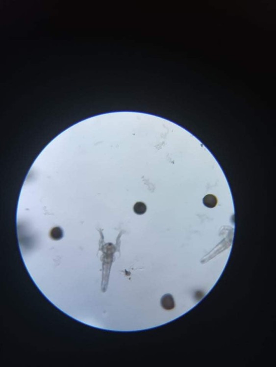
20. 12. 2021 Žáci sedmých ročníků si ve volietelném přírodovědném semináři sami založili líheň žábronožek a následně tyto slanovodní korýše sledovali pod mikroskopem. 9 / 1 / 2022 ZU